제주한라병원 통합검색 검색 아이콘
전체메뉴

전문진료센터

대동맥·심장판막센터 소개
대동맥심장판막센터는 대동맥과 심장판막에 문제가 생긴 환자들을 전문적으로 치료하는 센터입니다. 대동맥류, 대동맥박리증, 대동맥벽내혈종증 및 심장판막수술 등 다양한 심장수술을 시행하고 있으며, 고령이나 고위험 환자를 위한 최신 시술(경피적 스텐트삽입술, 비봉합 판막치환술)도 준비되어 있습니다.
수술 위험도가 높은 환자들에게 수술과 시술을 함께 진행하는 하이브리드 치료시스템도 갖추고 있어 보다 빠르고 안전한 치료가 가능합니다.
대동맥·심장판막질환이란?
주요 증상, 주요 원인 및 관련 질환으로 구성
주요 증상
  1. 숨이 차고 가슴이 답답함
  2. 심장이 두근거리거나 불규칙하게 뜀
  3. 다리가 붓고 쉽게 피로함
주요 원인
  1. 나이가 들면서 혈관이나 판막이 낡고 딱딱해짐
  2. 고혈압, 고지혈증 등으로 혈관에 부담이 쌓임
  3. 염증이나 심장 근육 이상
관련 질환
  1. 대동맥류 : 혈관이 늘어나 터질 위험이 있는 병
  2. 대동맥박리 : 대동맥 벽이 찢어지는 응급질환
  3. 판막질환 : 판막이 좁아지거나(협착), 잘 닫히지 않아 피가 새는 병
  4. 비후성심근증 : 심장 근육이 두꺼워져 혈액 흐름이 막히는 병
센터 특장점
  1. 2007년부터 심장수술 시행, 풍부한 경험
  2. 고위험 환자를 위한 시술 및 최소침습 수술 가능
  3. 수술 + 시술 함께하는 하이브리드 치료 체계
  4. 정밀 진단, 수술, 회복까지 전문 의료진 협진
대동맥 또는 심장판막 질환은 조기에 진단하고 적절히 치료하면 삶의 질을 높이고 심부전 등 중증 합병증을 예방할 수 있습니다.
저희 대동맥심장판막센터는 고난도 수술뿐만 아니라 시술과 재활까지 아우르는 원스톱 치료시스템을 바탕으로, 환자 한 분 한 분에게 가장 안전하고 효과적인 치료를 제공하기 위해 끊임없이 노력하고 있습니다.
가슴이 답답하거나 숨이 차는 증상이 지속된다면, 지금 바로 전문가와의 상담을 받아보시기 바랍니다.
강승호 의료진 사진
강승호
심장내과
진료분야
허혈성 심질환, 심부전증, 말초혈관 질환
진료시간
오전
오후
  재진만 가능 : ● / 구분없음 : ○
권오춘 의료진 사진
권오춘
심장혈관흉부외과
진료분야
성인심장, 대동맥 수술
진료시간
오전
오후
 
김경환 의료진 사진
김경환
외상일반외과
진료분야
응급, 중환자, 외상, 혈관외과(복부 대동맥·말초혈관 질환, 신장이식)
진료시간
오전
오후
 
박우영 의료진 사진
박우영
마취통증의학과
진료분야
통증클리닉(통증의학), 심장 마취
진료시간
오전
오후
 
이종철 의료진 사진
이종철
마취통증의학과
진료분야
노인마취, 심장마취
진료시간
오전
오후
 
조광리 의료진 사진
조광리
심장혈관흉부외과
진료분야
심장관상동맥질환,
대동맥혈관질환
진료시간
오전
오후
 
강승호 의료진 사진
강승호
대동맥·심장판막센터
진료분야
허혈성 심질환, 심부전증, 말초혈관 질환
진료시간
오전
오후
  재진만 가능 : ● / 구분없음 : ○
진료시간
오전
오후
  재진만 가능 : ● / 구분없음 : ○
학력
  • 영남대학교 의과대학
  • 영남대학교 대학원 석사
경력
  • 서울아산병원 순환기분과 전문의
권오춘 의료진 사진
권오춘
대동맥·심장판막센터
진료분야
성인심장, 대동맥 수술
진료시간
오전
오후
 
진료시간
오전
오후
 
학력
  • 경북대학교 의과대학 졸
  • 고려대학교 의과대학원 석사
  • 영남대학교 의과대학원 박사
경력
  • 경북대학교병원 인턴
  • 국립중앙의료원 레지던트
  • 순천향대학교병원 교
  • 부천세종병원 과장
  • 대구가톨릭대학교병원 교수
  • 미국 University of Alabama 심장센터 연수
  • 독일 Leipzig Heart center 연수
  • 이탈리아 San Ambrosio clinico 연수
  • 대구가톨릭대학교병원 병원장
  • 대한심장혈관흉부외과학회 회장
김경환 의료진 사진
김경환
대동맥·심장판막센터
진료분야
응급, 중환자, 외상, 혈관외과(복부 대동맥·말초혈관 질환, 신장이식)
진료시간
오전
오후
 
진료시간
오전
오후
 
학력
  • 충남대학교 의과대학 졸
  • 충남대학교 의과대학원 석사
경력
  • 을지대학교병원 인턴
  • 을지대학교병원 레지던트
  • 대전보훈병원
  • 남양주한양병원
  • 에스중앙병원
  • 현 제주한라병원 권역외상센터 과장
박우영 의료진 사진
박우영
대동맥·심장판막센터
진료분야
통증클리닉(통증의학), 심장 마취
진료시간
오전
오후
 
진료시간
오전
오후
 
학력
  • 건국 대학교  의과대학  졸
  • 연세 대학교 의과대학원 석사
  • 연세 대학교 의과대학원 박사
경력
  • 상계 백병원 인턴
  • 세브란스병원 레지던트
  • 세브란스병원 펠로우
  • 원주 세브란스병원 임상조교수
  • 서울대병원 임상조교수
  • Sheikh Khalifa Specialty Hospital
이종철 의료진 사진
이종철
대동맥·심장판막센터
진료분야
노인마취, 심장마취
진료시간
오전
오후
 
진료시간
오전
오후
 
학력
  • 인하대학교 의과대학 졸
경력
  • 인하대학교병원 인턴
  • 인하대학교병원 레지던트
조광리 의료진 사진
조광리
대동맥·심장판막센터
진료분야
심장관상동맥질환,
대동맥혈관질환
진료시간
오전
오후
 
진료시간
오전
오후
 
학력
  • 서울대학교 의과대학
  • 서울대학교 의과대학원 석사
  • 서울대학교 의과대학원 박사
경력
  • 서울대학교병원 인턴
  • 서울대학교병원 레지던트
  • 미국, Mayo Clinic 방문연구원
  • 서울대학교병원 전임강사
  • 서울대학교병원 조교수
  • 부천세종병원 진료과장
학회활동
  • 대한심장혈관흉부외과학회 이사
  • 관상동맥외과학회 이사
주요 치료기법
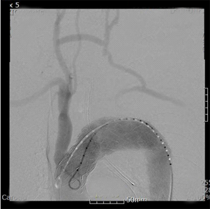
하이브리드 대동맥 수술, 복부 대동맥류, 흉부대동맥박리, 경피적 대동맥판막삽입술로 구성
하이브리드 대동맥 수술
술전 CT (대동맥궁 대동맥류) 대동맥내 스텐트 삽입 및 머리혈관 우회술
술전 CT
머리혈관 우회술
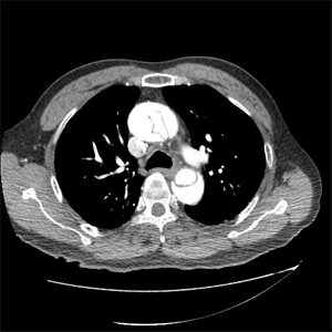
술 후 가슴사진 및 술 후 CT
술 후 가슴사진
술 후 CT
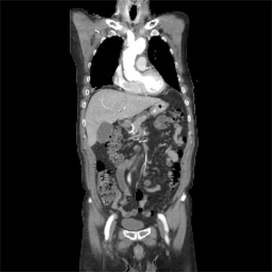
복부 대동맥류
술전 CT 및 복부대동맥 내 스텐트 삽입술 후 CT
술전 CT
복부대동맥 내 스텐트 삽입술 후 CT
흉부대동맥박리
술전 CT 및 인조혈관 대치술 후 CT
술전 CT
인조혈관 대치술 후 CT
경피적 대동맥판막삽입술
경피적 대동맥판막삽입술 그림